早いもので、大震災から3か月が経過しました。
政治のゴタゴタや、辞めそうで辞めない人のおかげで一向に進まない災害復興、得意げに原発の停止要請し、その影響で、今度は日本中の原発がストップして、真夏に計画停電再開とさんざんな年になりそうな今日この頃です。
決して原発を推進せよとは言わないけど、もう少し、後先を考えてから口にすべきでしょう!迷惑するのは誰?
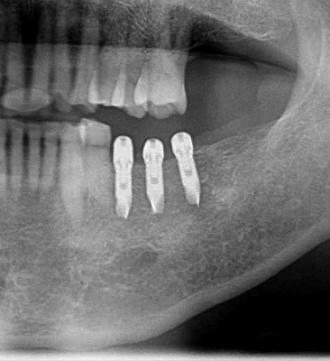
以前のブログで震災当日のことを綴りましたが、実はその日の午前中にインプラント埋入をしていたことに気付いたのです。
先日インプラントの上部構造の型取りをしたとき、ふとモニターのレントゲン写真の日付けが目に入りました。そこには、2011・3・11と入っていたのです。
「もしかして震災当日の午前中に埋入した患者さん?」となったわけです。地震があってからあまりに慌ただしかったため、当日の午前中のことはすっかり私の頭の中から抜け落ちていたのでした。もうインプラント治療が完了するくらいの時間が経っていたのですね。
大学病院勤務の時代、私の上司に言われた言葉を書いてみます。
「人のことを批判するのは結構だけど批判している本人はそれだけの実力があってしているのか?」
「実力もないのに人のことを批判するのはみっともない」
上司からは本当にいろいろ学びました。でもってわたしは?

