さあ、2週間に渡り自らを実験台にしたホームブリーチも終了し、お待たせの結果報告です。
なんだかんだで約20時間ほどの時間をかけてホワイトニングしてみたので“そりゃ、白くなるよ!”というのが結論のはずです。
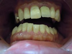
だってね、前後の写真を並べるとどっちがどっちなのかわからないんです!

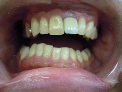
ブリーチ前

ブリーチ最後
自分では鏡を見て白くなったと感じてはいるものの、“他人の目からはどうなのか?”となると、今だ、気付いた人が現われず他人にとって私の歯が白くなろうがどうでもよいことではないか?というか“そんなに変わってないんじゃない!”というのが結論です。
自分としては白くなったことで“少々若返った”と感じているものの、ホワイトニングしたことを意識しているからで「わあ~、白い」という程、真っ白くなったわけでもないからな~・・・
でもね、職業病なのかテレビを観ていても、タレントや女優さんの口元に目がいってしまい「もう少し、歯の手入れをしたらいいのに!」と思うこともしばしばあるんです。
お肌の手入れやお化粧をしっかりしていても、歯や口元に注目すると年齢が出ていると感じたり、この人かなり地位の高い人(経済的、社会的いろいろ)なのにいかにも“安物の入れ歯”と思わしき義歯が見えている人、“さすがだな~良いもの使ってるわ~!”と感心する人がいたりとさまざまです。
妻はというと、女の目線で身に着けているアクセサリーを鑑定してみたりと、注目するところが違えば見るところも異なるものです。
それではみなさま、目がどうした、鼻がどうした、美肌がどうしたもいいけど、もっともっと歯や口もとに注目してね!
おねがいです。
最後にお恥ずかしながらホワイトニング前と後の写真をお見せして終わりにしたいと思います。(どこが変わってるの?と言われそう)
さらにもっともっとブリーチをがんばり、“白くなった”と納得してもらえるくらいまで!結局このシリーズはそのうち続編をお送りします。

