去年だったでしょうか?
旅先で何気なく手に取り「なんか珍しい物を見つけた!」と初めて購入したのが“りんごバター”でした。
こんがり焼いたトーストに塗って食べると「お~、うまいな~。」と癖になっていました。
その後はネットで幾種類かの“りんごバター”を見つけ、取り寄せては「これはいい!」とか「チョット気に入らない!」なんて気取っていました。
そして今年になってまたまた新たなバター、“桃”と“さつまいも”を旅先で見つけました。
そうなんです!バター三兄弟です。
どうです羨ましいでしょ!
味の方は内緒です。
だってまだ食べてないのですから。
さらに、もう一つの三兄弟を紹介しましょう。
名付けて“難抜歯三兄弟!”
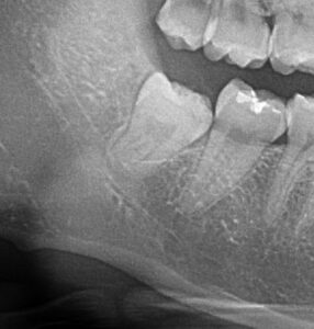
私が最近抜いた難しい親知らず3症例です。
最初は垂直方向の埋伏智歯ですが、レントゲン写真を見ると比較的易しそうに見えたのですが、歯肉を剥離してみたらほとんど骨の中に埋もれていて骨削除、骨削除で結構大変でした。
2つ目は水平埋伏智歯です。
歯冠部も歯根部もすべて下歯槽管に近接していて、骨や歯牙を削除するにも神経障害の危険性がありやっぱり大変でした。
ちなみに神経損傷なんてしていませんよ。
私失敗しないので!
3つ目は上顎の水平智歯です。
上顎洞(副鼻腔)に近接していて、しかも骨を削除しないと抜けない症例だったのですが、場所が場所だけに器具が上手く使えない、見えない、そして上顎洞に迷入させる恐れもあり、力の入れ具合も難しくなかなか手強かった抜歯です。
バターの三兄弟は大歓迎ですが、困難な抜歯の三兄弟はあまり出会いたくないですな~。

