わたくし現在ホームブリーチ挑戦中です。
1週間が経過し、途中経過ならびに感じたことを報告してみたいと思います。
ホームブリーチ初日:
挑戦初日、どんなものかと期待と不安の中、規定量の薬剤をトレーに盛り歯列に装着、間もなく噛み合わせが高くなったため唾液がたくさん出てきます。嘔吐反射の強い私には、とっても気になるので吐き出すか飲み込んでしまうか迷ってしまうのと同時、唾液と薬剤が混ざりなんとなく苦く、最初はやっぱり吐き出してしまったものの、慣れるに従いどうでも良くなりました。
装着時間は2時間以内と記載されていたので、なるべく長時間の装着を心掛けるものの約1時間半で断念しトレーをはずし、軽くうがいをしてトレーも一緒に洗って終了。
鏡で確認してみるとかなり白くなっているのがわかり「すごいな~」と感心して就寝。
2日目:
朝、鏡で歯の色を確認すると昨日の“あの白さはどこにいってしまったんだ”というくらい元に戻っていてがっかり!
始めたばかりだから仕方ないと前日同様がんばり2日目終了。
しばらくしてから鏡を覗くとやっぱり後戻り大!
3日~7日目:
ホームブリーチにもすっかり慣れスムースに一連の作業が進行。
後戻りにもすっかり慣れ本当のところどのくらい白くなるのか不安になるのと毎日、長時間装着するのも少々面倒になり始める!
知覚過敏についての注意書きがあったものの不快症状もほぼ無く、折り開始地点通過といったところで報告終了です。
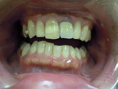
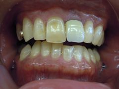
最後に開始時と1週間後の状態をお見せします。
ただし、あくまで挑戦なので、お見苦しい写真なのは勘弁です。

